
Myositis Polymyositis Dermatomyositis
Myositis, polymyositis, and Dermatomyositis
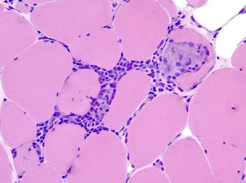
|
This is a muscle biopsy from a patient which shows the muscle fibers (pink) being attacked by the inflammatory cells (purple). |
Myositis, also know as polymyositis, and dermatomyositis are autoimmune diseases of the muscle where the body’s immune system attacks the muscle and weakens it. In myositis only the muscle is attacked while in dermatomyositis not only is the muscle involved, the skin is also attacked. Normally the immune system is programmed to recognize foreign material that enters the body and tries to destroy it. It also recognizes the body itself which prevents the immune system form attacking the body. In autoimmune diseases, the body looses self recognition and believes a part of the body is foreign. In polymyositis and dermatomyositis the body believes the muscles are a foreign material and tries to destroy it, weakening the muscles. |
Generally patients who have myositis or dermatomyositis develop the same kind of symptoms as patients with other muscle diseases. All muscle disorders have one symptom in common weakness without numbness. This doesn’t make the diagnosis, but it is very suggestive of muscle disease. In general patients develop weakness of the hip and thigh first noticing that they have difficulty standing up from the ground, standing up from chairs, or going up the stairs. As the disease progresses then the shoulders become weak. Patients start to notice that holding up their arms is more difficult and the shoulders get fatigued. The weakness could then spread to other muscles of the body. Patients could have difficulty breathing or swallowing. Patients could also develop fevers and joint pains. Patients with dermatomyositis in addition to weakness develop a skin rash.
To diagnose myositis or dermatomyositis we take a comprehensive history and perform a thorough neurological exam. Based on our finding, if we believed that polymyositis or dermatomyositis is a possibility, then blood work is sent and we perform a muscle and nerve test called EMG nerve conduction study. With the combination of these tests we can decide what the chances are that the patient has polymyositis. To make the final diagnosis a muscle biopsy is done which is the most specific test. In the muscle biopsy we remove a small piece of muscle and it is examined under the microscope with special stains. In polymyositis or dermatomyositis we see inflammation of the muscle fibers and muscle damage as a result which makes the diagnosis of polymyositis, and if there is a rash the diagnosis of dermatomyositis is made. Dr. Shaoulian is an expert in the performance of EMG nerve conduction studies and in the performance of muscle biopsies which allows us to make the proper diagnosis. A proper diagnosis is very crucial since treatment is only effective with the right diagnosis.
Polymyositis and dermatomyositis are very treatable diseases. Patients who have significant weakness could have dramatic improvement with proper treatment. We have patients who have had weakness for many years, and now with the new treatments available to us, they have made significant improvement. There are multiple categories of drugs being used that could involve pills, infusion, filtration of blood to remove immune mediators from the blood, or a combination of treatments. The choice of treatment depends on severity of disease, the patient’s age, other medical conditions, and multiple other factors. Most patients who have myositis start to regain strength with these treatments.